透射电子显微镜是用于观察样品内部结构的高分辨率电子显微镜,其分辨率可以达到纳米水平,是生物学、医学、材料学和物理学等领域微观形态观察的重要设备,也是病理诊断的必要设备之一。在生物医学领域,透射电镜可以观察生物样品的超微结构,如细胞、细胞器、病毒等,揭示细胞器官、蛋白质复合物以及病毒的形态和分布。这对于研究生物过程中的亚细胞水平细节,以及细胞内的纳米颗粒、药物输送系统等都具有重要意义。同时透射电子显微镜对一些特征性疾病的诊断提供重要的诊断依据,如肾病诊断、毛细胞白血病、肝病、肿瘤等,另外透射电子显微镜也是研究细胞侵袭、细胞凋亡、细胞铁死亡/铜死亡、细胞自噬、外泌体等的重要手段。在医学工程材料学方面,心脏支架或植入物与组织之间的相互作用等。材料学方面,可用于研究材料的相变过程和界面结构,为新材料的设计和合成提供理论基础等。

18luck备用登录电镜室的透射电镜(JEM-1400Flash)搭配冷冻超薄切片机徕卡EM-UC7-FC7于2019年底安装并使用,该套设备可提供大视野观测和拍摄,携带测量和标记功能,冷冻超薄切片机除常规超薄切片外,还可做Tokuyasu 冷冻超薄切片免疫标记。2020年-2023年,该套设备累计服务351项课题,累计样品量超过2500例。随着生物医学研究的进一步深入和跨学科研究的日渐成熟,透射电镜的研究和观察对象也日新月异,以下为18luck备用登录电镜室透射电镜服务部分展示(图片已获课题组通用使用):
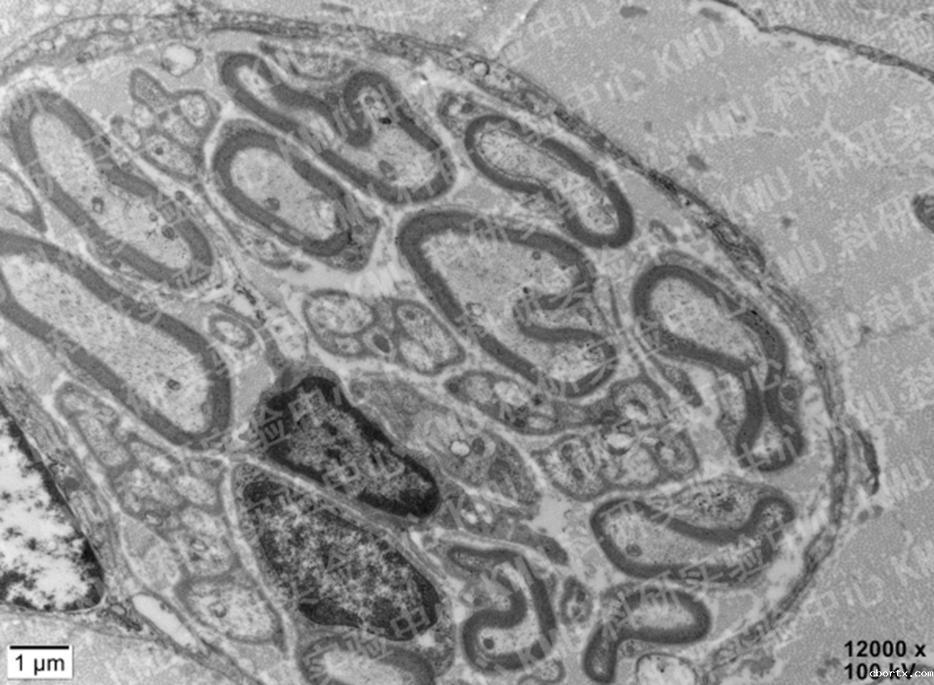
超薄切片技术+透射电子显微镜:
神经髓鞘(18luck备用登录 李丽梅教授课题组)
大瓦韦叶片细胞(云南大学生态与环境学院 张光飞教授课题组)
胆管上皮细胞(18luck备用登录第二附属医院消化内科 唐映梅主任医师课题组)
提取的线粒体(18luck备用登录 周兴课题组)
肾脏疾病诊断
支气管纤毛(不动纤毛综合征诊断)
负染色技术+透射电子显微镜:
噬菌体(云南省地方病防治所 王鹏教授课题组)
培养的流感病毒
介孔硅(纳米材料)(18luck备用登录第一附属医院影像科 韩丹课题组)
牛奶外泌体(昆明理工大学生命科学与技术学院 伊日布斯教授团队)