HALO病理分析工作站

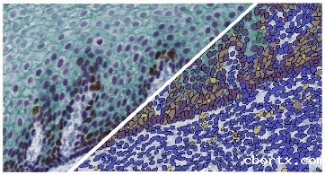
HALO数字病理图像分析工作站是专业的数字病理图像分析平台,深度融合了人工智能识别技术,提供用户友好的操作界面、迅速的分析能力和高效的工作流程,为全组织切片分析提供了精确至单细胞/对象的精准详尽的数据结果。针对H&E、免疫组织化学、免疫荧光、原位杂交、荧光原位杂交、TMA组织芯片以及特殊染色等数字病理切片,HALO均能够提供全面的分析功能,包括组织分型、区域面积定量、细胞 (胞核/膜/浆免疫标记物标记)定量、细胞及组织特征的空间分布分析,HALO提供不同应用场景的多种定制化算法,能够满足您的各种病理图像分析的定量需求。


主要分析模块:

1、  组织分型(Tissue Classifier)

使用实例学习方法,在整个组织玻片中分离组织类别,如肿瘤和间质。可与所有其他模块联合使用,以选择特定的组织类别进行深度分析。

2、  免疫组化细胞定量(Multiplex IHC)

定量一种或至多四种任何细胞区室(细胞核、细胞质和细胞膜)的免疫组化抗体染色标记,以及基于染色强度进行细胞分级,将阳性细胞根据染色强度进行分类(1 +,2 +,3+)并给出(H-Score)评分。

3、  免疫荧光细胞定量(Highplex FL)

定量无限种荧光染色标记的任何细胞区室(细胞核、细胞质和细胞膜) 免疫荧光标记阳性细胞的表达,以及基于阳性细胞根据荧光强度进行分类(1+,2 +,3+)并给出(H-Score)评分。

4、  组织面积分析-明场(Area Quantification BF)

定量分析单张组织中至多五种染料的阳性染色区域面积和光密度,并根据染色强度(阴性、弱阳性、中阳性或强阳性) 来定量每种染色的面积,阳性比率,平均光密度塹穌绣及染色共表达区域。

5、  组织面积分析-荧光(Area Quantification FL)

定量分析无限种荧光染色的阳性染色区域面积和强度。根据荧光强度(阴性、弱阳性、中阳性或强阳性)来定量每种染色的面积,阳性比率,平均染色强度及染色共表达区域。

特点优势

1、自动染色信号拆分:基于颜色反卷积算法,实现不同染色信号拆分,获取每个染色的单标记图像,至多可在同一组织图像(明场)上进行5种颜色的拆分。

2、实时预览窗口:实时展现分析结果,实时对参数进行调整。

3、Figure maker 工具:快速生成可用于PPT汇报、文章发表的图像文件。自定义组合图像行列、设置字体、添加标尺显示、添加图像参考线等。

4、灵活易用圈注工具:支持多种注释工具快速标注图像,包括自动组织区域识别工具;可对标注区域进行快速的修订、放大、缩小、复制、粘贴功能。

5、图层厚度检测:测量特定组织或组织区域的厚度。

6、操作简单:简单、灵活便捷的操作界面,大幅度的减少软件学习时间,将时间充分利用到数据分析当中。

7、精准&详细的数据结果:HALO基于逐个细胞进行分析,提供热图、直方图、空间分布图等多种图示结果。

8、兼容多种图像文件格式:支持Aperio(SVS/AFI)、Leica(SCN/LIF)、Hamamatsu(NDPI/NDPIS)、Nikon(ND2)、Olympus(VSI)、Zeiss(CZI)、JPG/TIF、3D Histech(MRXS)、Akoya(Qptiff/Component Tiff)、KFB(kfb、kfbf)、DICOM(dcm)、Philips (ISYNTAX)图像格式。

应用方向:肿瘤、神经、免疫学、代谢、心血管、皮肤、运动系统、药效/毒理、生物标志物分析、疾病作用机制、药物重新定位、靶点评估


联系方式

  • 联系地址:昆明市呈贡区雨花街道春融西路1168号
  • 联系电话:0871-65922555  联系邮编:650500
关注微信公众号
关注新浪微博
Copyright (c) 2007-2025  18luck备用登录  滇ICP备05001248号-2
滇公网安备 53011402000299号
Baidu
luck官网下载安卓